Before & After Dental Work
EVERY PICTURE TELLS A STORY
At Riverside Tooth Co., we understand that patients want to know what to expect from treatment. Dr. Sandhu offers skillful, expert dental work with beautiful, long-lasting results. Whether you simply need a filling to treat a cavity or you are interested in cosmetic treatments to enhance the appearance of your smile, take a look at our photo gallery and read real patient stories to see what you can expect!
TREATMENT: DENTAL IMPLANT & CROWN
Patient: Sol
A year before visiting us at Riverside Tooth Co., Sol had a damaged tooth extracted. Since that procedure, Sol had gone an entire year without chewing on one side of her mouth. With expert implant placement and restoration, Dr. Sandhu was able to restore the aesthetics of her smile and her ability to chew her favorite foods.
TREATMENT: VENEERS
Patient: Glenn
Before his treatment at Riverside Tooth Co, Glenn had lived for years with large gaps in his smile. These gaps weren’t just a cosmetic issue— they would cause food debris to get stuck in between his teeth, which led to gum inflammation and irritation. From the time he walked into our office, Glenn was excited at the prospect of enhancing his smile. Now that he has well-aligned teeth with no gaps, Glenn can smile with pride and confidence.
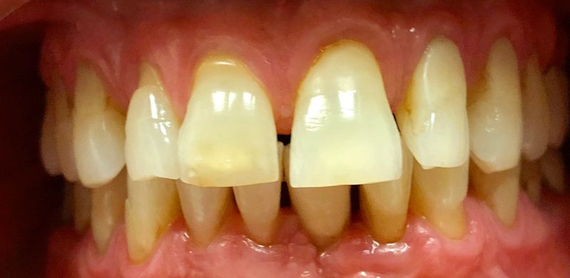
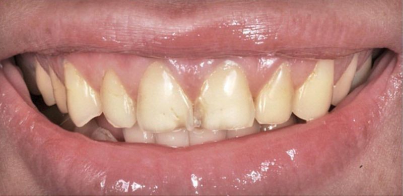
TREATMENT: VENEERS & CROWNS
Patient: Melanie
Before coming to Riverside Tooth Co., Melanie was fearful of the dentist and apprehensive about getting cosmetic work. After visiting our office, our compassionate, skillful team worked with Melanie to develop a treatment plan that fit her needs and far exceeded her expectations. In under two weeks, Dr. Sandhu transformed Melanie’s cracked, discolored teeth and restored her smile.
Contact Us
6886 Indiana Ave Suite B,
Riverside, CA, CA, 92506
Email: info@riversidetoothco.com
Phone: (951) 686-2565
Working Hours
MON8:00 am - 5:00 pm
TUE - THU9:00 am - 6:00 pm
FRI7:00 am - 12:00 pm
SAT - SUNClosed



